Bulletin of Botanical Research ›› 2026, Vol. 46 ›› Issue (1): 120-130.doi: 10.7525/j.issn.1673-5102.2026.01.011
• Original Paper • Previous Articles Next Articles
Xiaoling MA, Yingcai ZHANG(
), Jing WANG, Guoqi ZHENG
Received:2024-12-13
Online:2026-01-20
Published:2026-01-20
Contact:
Yingcai ZHANG
E-mail:yingcaizh@163.com
CLC Number:
Xiaoling MA, Yingcai ZHANG, Jing WANG, Guoqi ZHENG. The Colloidal Gold Immune Distribution Characteristics of Arabinogalactan Proteins during Fruit Development of Ziziphus jujuba ‘Lingwu Changzao’[J]. Bulletin of Botanical Research, 2026, 46(1): 120-130.
Add to citation manager EndNote|Ris|BibTeX
URL: https://bbr.nefu.edu.cn/EN/10.7525/j.issn.1673-5102.2026.01.011
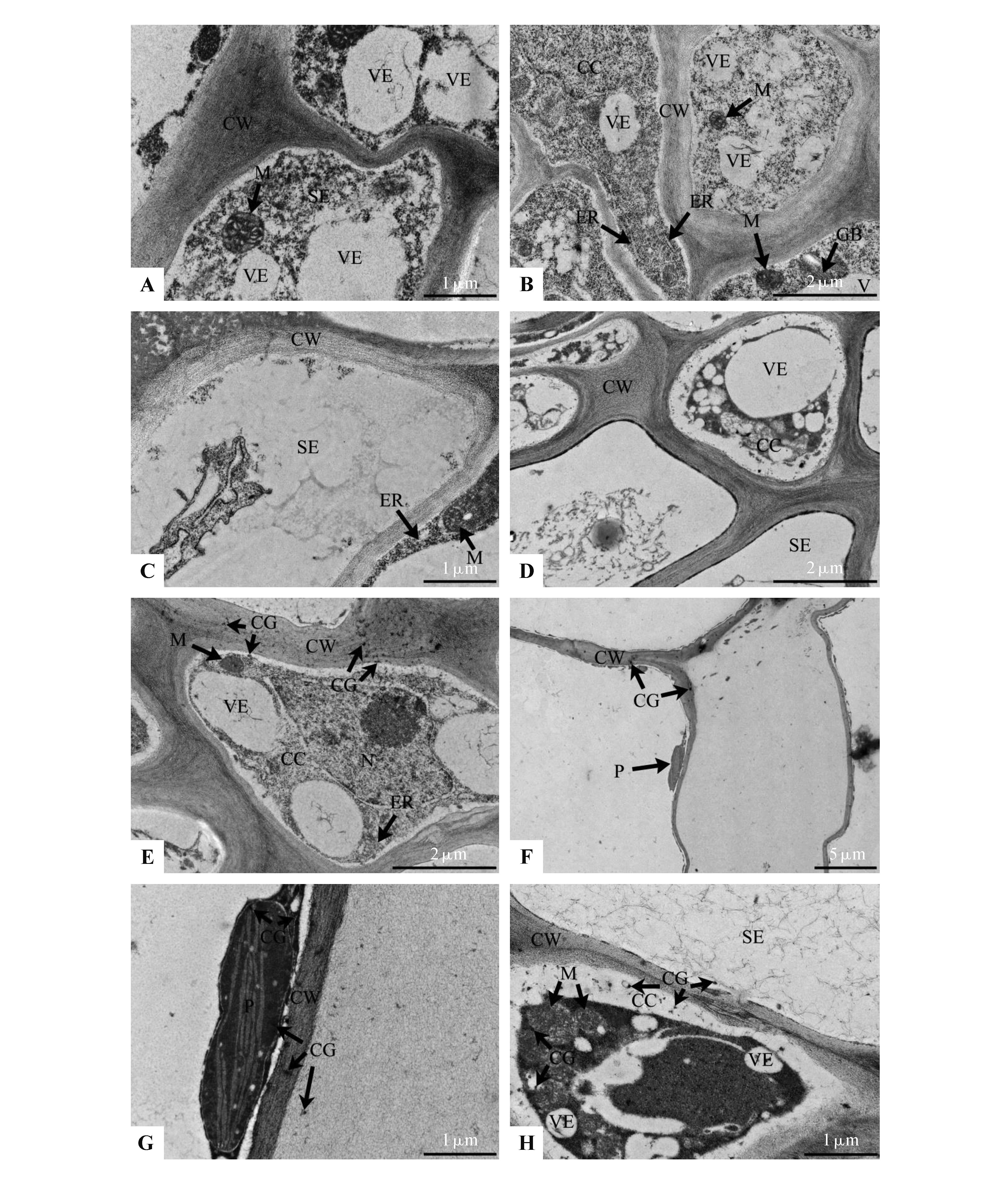
Fig.1
Colloidal gold immunolocalization of AGPs in fruit in the early bulking periodA-D. Fruits unincubated with primary antibody; E-H. Fruits incubated with primary antibody. A-B. Phloem and parenchymal cells of vascular bundle and the organelles in them; C. Cell walls and organelles of the parenchymal cells of phloem; D. Organelles in the parenchymal cells of the phloem of vascular bundle; E. Cell walls and organelles of parenchymal cells distant from the vascular bundle; F. Cell walls and organelles of parenchymal cells in the phloem of the vascular bundle; G-H. Cell walls and cell interiors of parenchymal cells distant from the vascular bundle. SE. Sieve tube molecules; CC. Companion cells; VE. Vesicles; V. Vacuoles; ER. Endoplasmic reticulum; M. Mitochondria; N. Nucleus; P. Plastids; S. Starch grains; NU. Nucleoli; CW. Cell wall; PM. Plasma membrane; CG.Colloidal gold particles. The same as below.
Fig.2
Colloidal gold immunolocalization of AGPs in fruit in the rapid enlargement periodA-D. Fruits unincubated with primary antibody; E-H. Fruits incubated with primary antibody. A-B. Organelles in the parenchymal cells of the vascular bundle phloem; C-D. Cell walls and cell interiors of parenchymal cells distant from vascular bundle; E. Cell walls of sieve tubes; F-H. Cell walls and cell interiors of parenchymal cells distant from the vascular bundle.
Fig.3
Colloidal gold immunolocalization of AGPs in fruit in the coloring periodA-D. Fruits unincubated with primary antibody; E-H. Fruits incubated with primary antibody. A. Sieve tubes and companion cells of vascular bundle phloem; B. Parenchymal cells and cell interiors of the phloem of vascular bundle; C. Cell walls and cell interiors of parenchymal cells distant from the vascular bundle; D-E. Sieve tubes and companion cells in the phloem of vascular bundle; F. Cell walls and cell interiors of parenchymal cells of the phloem; G. Organelles in parenchymal cells of the phloem of vascular bundle. H. Cell walls and cell interiors of parenchymal cells distant from vascular bundle.
Fig.4
Colloidal gold immunolocalization of AGPs in fruit in the maturation periodA-D. Fruits unincubated with primary antibody; E-H. Fruits incubated with primary antibody. A. Cell walls and organelles of sieve tubes of the vascular bundle phloem; B. Companion cells of the vascular bundle phloem; C. Sieve tubes of the vascular bundle phloem; D. Sieve tubes and companion cells of the vascular bundle phloem; E. Companion cells of the vascular bundle phloem; F-G. Cell walls and organelles of parenchymal cells distant from the vascular bundle; H. Companion cells of the vascular bundle phloem. GB. Golgi apparatus.
| [1] | LESZCZUK A, SZCZUKA E, LEWTAK K,et al.Effect of low temperature on changes in AGP distribution during development of Bellis perennis ovules and anthers[J].Cells,2021,10(8):1880. |
| [2] | LESZCZUK A, CYBULSKA J, SKRZYPEK T,et al.Properties of arabinogalactan proteins (AGPs) in apple(Malus×Domestica) fruit at different stages of ripening[J]. Biology,2020,9(8):225. |
| [3] | BAUMANN A, PFEIFER L, CLASSEN B.Arabinogalactan-proteins from non-coniferous gymnosperms have unusual structural features[J].Carbohydrate Polymers,2021,261:117831. |
| [4] | WILLATS W G T, KNOX J P.A role for arabinogalactan-proteins in plant cell expansion:evidence from studies on the interaction of β-glucosyl Yariv reagent with seedlings of Arabidopsis thaliana [J].The Plant Journal,1996,9(6):919-925. |
| [5] | VICRÉ M, SANTAELLA C, BLANCHET S,et al.Root border-like cells of Arabidopsis microscopical characterization and role in the interaction with rhizobacteria[J].Plant Physiology,2005,138(2):998-1008. |
| [6] | 胡欣.βGlcY对拟南芥根发育的影响及AGPs基因干扰载体的构建与油菜遗传转化[D].武汉:湖北大学,2016. |
| HU X.Influence on root development in Arabidopsis by βGlcY and construction of AGPs gene interference vectors and the genetic transformation in Brassica [D].Wuhan:Hubei University,2016. | |
| [7] | 林苏娥.白菜花粉壁发育相关的四个多糖代谢基因的表达分析与功能鉴定[D].杭州:浙江大学,2014. |
| LIN S E.Expression and functional characterization of four polysaccharide metabolism genes related to pollen wall development in Brassica campestris ssp. chinensis[D].Hangzhou:Zhejiang University,2014. | |
| [8] | 项青.番茄斑萎病毒利用寄主植物阿拉伯半乳糖蛋白AGP调控自身侵染的机制研究[D].南京:南京农业大学,2019. |
| XIANG Q.Molecular mechanism of tomato spotted wilt virus utilizing the host plant arabinogalactan protein to facilitate viral infection[D].Nanjing:Nanjing Agricultural University,2019. | |
| [9] | LESZCZUK A, ZAJĄC A, KURZYNA-SZKLAREK M,et al.Investigations of changes in the arabinogalactan proteins(AGPs) structure,size and composition during the fruit ripening process[J].Scientific Reports,2020,10(1):20621. |
| [10] | 齐国亮.气象因子对宁夏枸杞外观品质及药用成分多糖积累的影响[D].银川:宁夏大学,2015. |
| QI G L.Influence of meteorological factors on the appearance quality of Lycium barbarum L.and the accumulation of medicinal composition of Lycium barbarum polysaccharides[D].Yinchuan:Ningxia University,2015. | |
| [11] | 王静,章英才,陶珊珊.灵武长枣果实发育过程中阿拉伯半乳糖蛋白组织化学分布[J].植物研究,2022, 42(6):1106-1120. |
| WANG J, ZHANG Y C, TAO S S.Histochemical localization of arabinogalactan proteins during fruit development from Ziziphus jujuba ‘Lingwu Changzao’[J].Bulletin of Botanical Research,2022,42(6):1106-1120. | |
| [12] | 梁艳丽.水稻苗期叶片细胞壁对稻瘟病菌侵染的响应研究[D].昆明:云南农业大学,2016. |
| LIANG Y L.Response of rice leaves cell wall to Magnaporthe oryzae infection at seedling stage[D].Kunming:Yunnan Agricultural University,2016. | |
| [13] | 刘云霞,张青文,周明.电镜免疫胶体金定位水稻内生细菌的研究[J].农业生物技术学报,1996,4(4):354-358. |
| LIU Y X, ZHANG Q W, ZHOU M.Immuno-gold staining techniques for detection of endophytic bacteria in rice plant[J].Chinese Journal of Agricultural Biotechnology,1996,4(4):354-358. | |
| [14] | 李金娜.温度结合低压静电场对灵武长枣贮藏保鲜效果的研究[D].银川:宁夏大学,2019. |
| LI J N.Study on the effect of temperature combined with low voltage electrostatic field on the storage and preservation of Ziziphus jujuba Mill cv.Lingwu changzao[D].Yinchuan:Ningxia University,2019. | |
| [15] | 张晓波,苏伟东,章英才.灵武长枣研究进展[J].北方园艺,2014,38(22):200-203. |
| ZHANG X B, SU W D, ZHANG Y C.Research progress on Ziziphus jujuba Mill cv.‘lingwuchangzao’[J].Northern Horticulture,2014,38(22):200-203. | |
| [16] | 王静,章英才,陶珊珊,等.果胶酶对灵武长枣果实发育中阿拉伯半乳糖蛋白分布的影响[J].植物研究,2024,44(1):62 -74. |
| WANG J, ZHANG Y C, TAO S S,et al.Effects of pectinase on the distribution of arabinogalactan proteins in developing fruit of Ziziphus jujuba ‘Lingwu Changzao’[J].Bulletin of Botanical Research,2024,44(1):62 -74. | |
| [17] | LESZCZUK A, KALAITZIS P, BLAZAKIS K N,et al.The role of arabinogalactan proteins(AGPs) in fruit ripening-a review[J].Horticulture Research,2020,7(1):176. |
| [18] | 秦源,陈丹,赵洁.烟草柱头和花柱中阿拉伯半乳糖蛋白的定位[J].植物生理与分子生物学学报,2006, 32(3):307-314. |
| QIN Y, CHEN D, ZHAO J.The localization of arabinogalactan-proteins in stigma and style of Nicotiana tabacum L.[J]. Journal of Plant Physiology and Molecular Biology,2006,32(3):307-314. | |
| [19] | 王静,章英才,陶珊珊.灵武长枣果实阿拉伯半乳糖蛋白免疫荧光定位[J].电子显微学报,2022,41(3):293-307. |
| WANG J, ZHANG Y C, TAO S S.Immunofluorescence localization of arabinogalactan proteins in Ziziphus jujuba Mill cv.Lingwuchangzao fruit[J].Journal of Chinese Electron Microscopy Society,2022,41(3):293-307. | |
| [20] | 杜琳.富含羟脯氨酸糖蛋白(HRGPs)在冬瓜-枯萎病菌互作中的诱导调控及亚细胞定位分析[D].南昌:江西农业大学,2014. |
| DU L.Inducible regulation and subcellular localization analyses of the hydroxyproline-rich glycoproteins(HRGPs) in interaction between wax gourd and Fusarium oxysporum Schlf.Sp.Benincasae[D].Nanchang:Jiangxi Agricultural University,2014. | |
| [21] | 巩万奎.阿拉伯半乳糖蛋白及其在植物细胞分化中的作用[J].生物技术通报,1999,15(4):12-15. |
| GONG W K.Arabinogalactan-proteins and their roles in plant cell differentiation[J].Biotechnology Bulletin,1999,15(4):12-15. | |
| [22] | 秦源,赵洁.阿拉伯半乳糖蛋白在被子植物有性生殖中的作用[J].植物生理与分子生物学学报,2004, 30(4):371-378. |
| QIN Y, ZHAO J.The roles of arabinogalactan-proteins in sexual reproduction of angiosperms[J].Journal of Plant Physiology and Molecular Biology,2004,30(4):371-378. | |
| [23] | LESZCZUK A, CHYLIŃSKA M, ZDUNEK A.Enzymes and vitamin C as factors influencing the presence of arabinogalactan proteins(AGPs) in Solanum lycopersicum fruit[J].Plant Physiology and Biochemistry,2019,139:681-690. |
| [1] | Yuqi DU, Zepeng YIN. Advances on the Effect of Light on Fruit Aroma Quality [J]. Bulletin of Botanical Research, 2025, 45(2): 159-170. |
| [2] | Guoshi SU, Li ZHANG, Suotong LIU, Xiaoyan LI, Zhimao QIN, Jinli GUO. Effect of 2,4-D Treatment on Calcium Uptake and the Relationship with IAA and Organic Acid Metabolism in Cerasus humilis Fruit [J]. Bulletin of Botanical Research, 2024, 44(6): 832-842. |
| [3] | Jing WANG, Yingcai ZHANG, Shanshan TAO, Xue YANG. Effects of Pectinase on the Distribution of Arabinogalactan Proteins in Developing Fruit of Ziziphus jujuba ‘Lingwu Changzao’ [J]. Bulletin of Botanical Research, 2024, 44(1): 62-74. |
| [4] | Renrui WANG, Xin LIU, Jie LI. Embryo Development and Features of Seed and Fruit of Endangered Plant Cymbidium goeringii var. longibracteatum [J]. Bulletin of Botanical Research, 2023, 43(6): 953-960. |
| [5] | Dan WANG, Zhongshuai ZHANG, Qingyin ZENG, Xuemin HAN. Fruiting and Seed Characteristics of Abies in Northwest Yunnan [J]. Bulletin of Botanical Research, 2023, 43(5): 647-656. |
| [6] | Lijie CHEN, Wanyuan DANG, Weiwei CHEN, Tao QIU, Xiaohong CHEN. Spatial Variation of Phenotypes of Fruit and Seed Traits of Michelia wilsonii, a Rare and Endangered Plant [J]. Bulletin of Botanical Research, 2023, 43(1): 100-108. |
| [7] | Jing WANG, Yingcai ZHANG, Shanshan TAO. Histochemical Localization of Arabinogalactan Proteins During Fruit Development from Ziziphus jujuba ‘Lingwu Changzao’ [J]. Bulletin of Botanical Research, 2022, 42(6): 1106-1120. |
| [8] | Yujin XU, Xihe WANG, Pingyang LI, Yulei LI, Dexiao LI, Yunyang WU, Quan SUN, Lili GE, Xiyang ZHAO. Effect of Fruit-Expander on Cone Performance of Pinus sylvestris var. mongolica [J]. Bulletin of Botanical Research, 2022, 42(5): 762-771. |
| [9] | Si-Han WANG, Tao YANG, Jin-Zhu ZHANG, Jie DONG, Zhi-Ling KOU, Dai-Di CHE. Effects of Changes in Seed Cell Tissue Structure and Endogenous Hormones on Dormancy of Wild Rosa rugosa Fruit during Development [J]. Bulletin of Botanical Research, 2021, 41(3): 387-394. |
| [10] | Hua-Feng CHEN, Yu-Qing TANG, Ya-Jie PAN, Xiao-Rui GUO. Progress on the Metabolic Basis and Regulation Mechanism of Fruit Flavor [J]. Bulletin of Botanical Research, 2021, 41(3): 474-480. |
| [11] | Xian-Lan DENG, Xia-Xia CHEN, Zheng-Guang ZHANG. Fruit Shape and Micromorphological Characteristics of Pericarp Surface of 18 Lamiaceae Plant in Jinggangshan Area [J]. Bulletin of Botanical Research, 2020, 40(6): 820-829. |
| [12] | ZHOU Xue-Yan, GAO Hai-Yan, LI Zhao-Min, ZHAO Yin-Kun, GE Li-Li, HOU Qing-Wen, DING Wen-Ya, ZHAO Xi-Yang. Evaluating Parents of Pinus koraiensis Seeds Orchard with Growth and Fruiting [J]. Bulletin of Botanical Research, 2020, 40(3): 376-385. |
| [13] | CHEN Lan-Ying, XIAO Xiao, XIAO Juan. Floral Traits and Reproductive Characters of Different Large-flowered Taxa Epimedium(Berberidaceae) [J]. Bulletin of Botanical Research, 2019, 39(6): 808-816. |
| [14] | CAO Dong-Ling, ZHANG Xue-Jie, LIU Mei. Fruit and Seed Morphology of 8 Genera of Trib. Lepidieae(Cruciferae) [J]. Bulletin of Botanical Research, 2019, 39(5): 673-682. |
| [15] | DU Qing-Xin, QING Jun, WANG Lu, LIU Pan-Feng, HE Feng, ZHU Li-Li, DU Hong-Yan. Variation and Probability Grading of Main Quantitative Traits of Fruits for Eucommia ulmoides Germplasm [J]. Bulletin of Botanical Research, 2019, 39(3): 387-394. |
| Viewed | ||||||
|
Full text |
|
|||||
|
Abstract |
|
|||||