Bulletin of Botanical Research ›› 2026, Vol. 46 ›› Issue (1): 101-110.doi: 10.7525/j.issn.1673-5102.2026.01.009
• Original Paper • Previous Articles Next Articles
Yanhong ZHANG1,2, Yaping ZHANG1, Linjia WANG1, Chunyu HE1,2,3(
), Qingyi GUO1,2,3
Received:2025-06-24
Online:2026-01-20
Published:2026-01-20
Contact:
Chunyu HE
E-mail:hchy456789@163.com
CLC Number:
Yanhong ZHANG, Yaping ZHANG, Linjia WANG, Chunyu HE, Qingyi GUO. Conservation Technology of In Vitro Tubers of Pinellia ternata by Delayed Growth[J]. Bulletin of Botanical Research, 2026, 46(1): 101-110.
Add to citation manager EndNote|Ris|BibTeX
URL: https://bbr.nefu.edu.cn/EN/10.7525/j.issn.1673-5102.2026.01.009
Table 2
Dynamic changes of growth of mature tubers during cryopreservation
保存时间 Preservation time/d | 保存块茎数量 Number of preserved tubers | 芽尖萌动数量 Number of bud tips sprouting | 萌动率 Sprouting rate/% | 生根数量 Number of rooting | 生根率 Rooting rate/% | 成苗数量 Number of seedling | 块茎状态 Status of tubers |
|---|---|---|---|---|---|---|---|
| 40 | 30 | 0 | 0 | 0 | 0 | 0 | 饱满 |
| 80 | 30 | 3 | 10.0 | 0 | 0 | 0 | 饱满 |
| 120 | 30 | 4 | 13.3 | 2 | 6.7 | 0 | 饱满 |
| 160 | 30 | 8 | 26.7 | 5 | 16.7 | 0 | 略干缩 |
| 200 | 30 | 8 | 26.7 | 5 | 16.7 | 0 | 略干缩 |
| 240 | 30 | 8 | 26.7 | 5 | 16.7 | 0 | 略干缩 |
| 280 | 30 | 8 | 26.7 | 5 | 16.7 | 0 | 略干缩 |
| 320 | 30 | 8 | 26.7 | 5 | 16.7 | 0 | 略干缩 |
| 360 | 30 | 8 | 26.7 | 5 | 16.7 | 0 | 略干缩 |
Fig.1
Status of tubers and media with different treatments after 360 d preservation in low-temperature and dark conditionsA.After cryopreservation of mature tubers; B.After cryopreservation of one generation of test tube seedlings; C.After high osmotic pressure(30 g?L-1 sucrose+60 g?L-1 mannitol) combined with cryopreservation of mature tubers.
Fig.2
State of plant growth by different pretreatments of mature tubers after restoring cultureA-J were mature tubers cryopreserved, test tube seedlings cryopreserved, 30 g?L-1 sucrose, 60 g?L-1 sucrose, 90 g?L-1 sucrose, 30 g?L-1 sucrose+20 g?L-1 mannitol, 30 g?L-1 sucrose+40 g?L-1 mannitol, 30 g?L-1 sucrose+60 g?L-1 mannitol, 60 g?L-1 sucrose+20 g?L-1 mannitol, 90 g?L-1 sucrose+20 g?L-1 mannitol preserved and then restored to culture, respectively.
Table 3
Morphological changes of one generation of test tube seedlings during cryopreservation
保存时间 Preservation time/d | 保存植株数量 Number of preserved plants | 新鲜叶柄数量 Number of fresh petioles | 干枯叶柄数量 Number of withered petioles | 叶柄干枯率 Withered petiole rate/% |
|---|---|---|---|---|
| 40 | 30 | 79 | 6 | 7.06 |
| 80 | 30 | 73 | 12 | 14.12 |
| 120 | 30 | 46 | 39 | 45.88 |
| 160 | 30 | 21 | 64 | 75.29 |
| 200 | 30 | 0 | 85 | 100.00 |
| 240 | 30 | 0 | 85 | 100.00 |
| 280 | 30 | 0 | 85 | 100.00 |
| 320 | 30 | 0 | 85 | 100.00 |
| 360 | 30 | 0 | 85 | 100.00 |
Table 4
Effect of high osmotic pressure preservation on recovery culture of mature tubers under low-temperature conditions for 360 d
高渗透压处理 High osmotic pressure treatment | 保存块茎数量 Number of preserved tubers | 保存后成苗块茎数量 Number of seedling after tubers preservation | 恢复培养后成苗率 Seedling rate after recovery culture/% | 每块茎的叶柄数量 Number of petioles per tuber | 叶色 Leaf color | 平均叶柄长度 Average length of petiole/cm |
|---|---|---|---|---|---|---|
| 30 g·L-1蔗糖 | 30 | 0 | 76.67c | 2.81bc | 绿色 | 4.75ab |
| 60 g·L-1蔗糖 | 30 | 0 | 76.67bc | 2.87b | 绿色 | 3.72cd |
| 90 g·L-1蔗糖 | 30 | 0 | 90.00ab | 3.05ab | 绿色 | 3.05d |
| 30 g·L-1蔗糖+20 g·L-1甘露醇 | 30 | 0 | 70.00cd | 3.46a | 绿色 | 4.21bc |
| 30 g·L-1蔗糖+40 g·L-1甘露醇 | 30 | 0 | 73.33cd | 3.10ab | 绿色 | 3.36cd |
| 30 g·L-1蔗糖+60 g·L-1甘露醇 | 30 | 0 | 96.67a | 3.44a | 绿色 | 4.24bc |
| 60 g·L-1蔗糖+20 g·L-1甘露醇 | 30 | 0 | 60.00cd | 2.32c | 绿色 | 3.52cd |
| 90 g·L-1蔗糖+20 g·L-1甘露醇 | 30 | 0 | 66.67cd | 3.50a | 绿色 | 5.47ab |
Fig.3
Histological differences of tubers between low and high seedling rate treatments after low temperature preservationLP. Leaf primordium; AM. Apical meristem; the red arrows pointed to starch granules, and the black arrows pointed to secretory cells and internal needle crystals; A1, A2, and A3 represented the stem tips, middle parts of the tubers, and starch granules below the stem tips of the tubers after death preservation with 30 g?L-1 sucrose; B1, B2, and B3 represented the stem tips, middle parts of the tubers, and starch granules below the stem tips of tubers that resumed growth after preservation with 30 g?L-1 sucrose; C1, C2, and C3 represented the stem tips, middle parts of the tubers, and starch granules below the stem tips of the tubers that resumed growth after preservation with 30 g?L-1 sucrose and 60 g?L-1 mannitol.
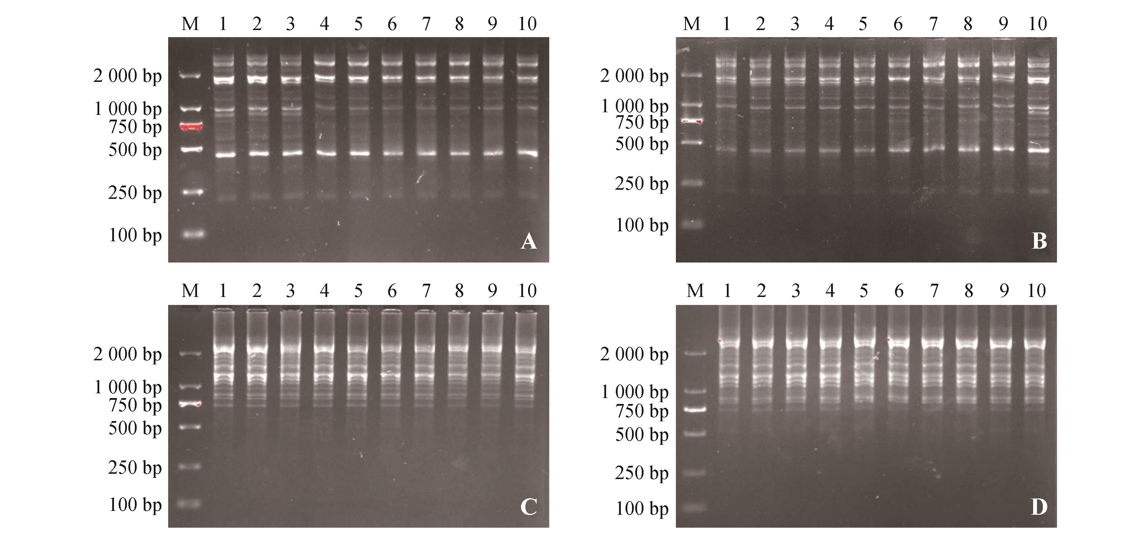
Fig.4
RAPD amplification profile of plantlets recovered after in vitro tubers delayed growth for 360 daysA and B showed the DNA spectra of 10 plantlets treated with 90 g?L-1 sucrose, 30 g?L-1 sucrose +60 g?L-1 mannitol,respectively,amplified by primer Em2; C and D showed the DNA spectra of 10 plantlets treated with 90 g?L-1 sucrose, 30 g?L-1 sucrose+60 g?L-1 mannitol,respectively,amplified by primer Lect7.
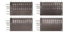
Fig.5
ISSR amplification profile of plantlets recovered after in vitro tubers delayed growth for 360 daysA and B showed the DNA spectra of 10 plantlets treated with 90 g?L-1 sucrose, 30 g?L-1 sucrose+60 g?L-1 mannitol,respectively,amplified by primer 881; C and D showed the DNA spectra of 10 plantlets treated with 90 g?L-1 sucrose, 30 g?L-1 sucrose+60 g?L-1 mannitol,respectively,amplified by primer 854.
| [1] | 国家药典委员会.中华人民共和国药典:2020年版:一部[M].北京:中国医药科技出版社,2020:123. |
| Chinese Pharmacopoeia Commission.Pharmacopoeia of the People’s Republic of China:2020 Edition:Volume Ⅰ[M].Beijing:China Pharmaceutical Science and Technology Press,2020:123. | |
| [2] | 罗强,梁晓宇,刘鑫,等.半夏化学成分及药理作用研究进展[J].特产研究,2020,42(5):54-60. |
| LUO Q, LIANG X Y, LIU X,et al.Research progress on chemical constituents and pharmacological activities of Pinellia ternata [J].Special Wild Economic Animal and Plant Research,2020,42(5):54-60. | |
| [3] | 陈黎明,何志贵,韩蕊莲.半夏种质资源研究进展[J].黑龙江农业科学,2020(2):131-135. |
| CHEN L M, HE Z G, HAN R L.Research progress on germplasm resources of Pinellia ternata [J].Heilongjiang Agricultural Sciences,2020(2):131-135. | |
| [4] | 兰伟,陈发棣.植物种质资源缓慢生长法保存研究进展[J].阜阳师范学院学报(自然科学版),2010,27(2):68-72. |
| LAN W, CHEN F D.Progress in techniques for slow growth conservation of plant germplasm resources[J].Journal of Fuyang Normal University (Natural Science),2010,27(2):68-72. | |
| [5] | 刘芊.中国古老月季离体保存技术研究[D].北京:北京林业大学,2014. |
| LIU Q. In vitro conservation of Chinese old roses[D].Beijing:Beijing Forestry University,2014. | |
| [6] | 傅伊倩.几种野生百合离体保存技术的研究[D].北京:北京林业大学,2012. |
| FU Y Q. In vitro conservation of wild lily[D].Beijing:Beijing Forestry University,2012. | |
| [7] | 王小乐,迟天华,王海滨,等.蔗糖和甘露醇复合处理对菊花低温离体保存的影响[J].分子植物育种,2019,17(5):1597-1604. |
| WANG X L, CHI T H, WANG H B,et al.Effects of sucrose and mannitol combined treatment on in vitro conservation of Chrysanthemum at low temperature[J].Molecular Plant Breeding,2019,17(5):1597-1604. | |
| [8] | 陈汝豪,周艳华,赵喜娟,等.延长马铃薯种质资源低温保存条件的探究[J].中国马铃薯,2023,37(5):419-427. |
| CHEN R H, ZHOU Y H, ZHAO X J,et al.Study on conditions for extending the low temperature preservation of potato germplasm resources[J].Chinese Potato Journal,2023,37(5):419-427. | |
| [9] | 张延红,何春雨,董婉琦,等.半夏试管块茎直接发生途径的离体快繁研究[J].时珍国医国药,2022,33(10):2512-2515. |
| ZHANG Y H, HE C Y, DONG W Q,et al.Studies on rapid propagation of Pinellia ternata(Thunb.) Breit.in vitro tuber via direct organgenesis[J].Lishizhen Medicine and Materia Medica Research,2022,33(10):2512-2515. | |
| [10] | 唐顺莉,张延红,何春雨,等.留兰香超低温保存再生植株遗传稳定性研究[J].时珍国医国药,2022,33(7):1712-1715. |
| TANG S L, ZHANG Y H, HE C Y,et al.Studies on genetic stability of regenerated plants after cryopreservation of Mentha spicata L.[J].Lishizhen Medicine and Materia Medica Research,2022,33(7):1712-1715. | |
| [11] | BENELLI C, TARRAF W, IZGU T,et al. In vitro conservation through slow growth storage technique of fruit species:an overview of the last 10 years[J].Plants,2022,11(23):3188. |
| [12] | 兰伟,陈素梅,尹冬梅,等.那贺川野菊的离体保存[J].园艺学报,2010,37(12):2007-2016. |
| LAN W, CHEN S M, YIN D M,et al.Studies on in vitro conservation of Chrysanthemum yoshinaganthum [J].Acta Horticulturae Sinica,2010,37(12):2007-2016. | |
| [13] | 王晨,师校欣,杜国强,等.温度和渗透压对苹果试管苗延缓生长法种质保存的效应[J].中国农学通报,2008,24(12):335-338. |
| WANG C, SHI X X, DU G Q,et al.Effect of incubation temperature and osmotic pressure in subculture media on retardant growth of explants during conservation in vitro in apple[J].Chinese Agricultural Science Bulletin,2008,24(12):335-338. | |
| [14] | 黄靖.黑果腺肋花楸种质资源的离体保存及果实花色苷的研究[D].长春:吉林农业大学,2022. |
| HUANG J.The study on preservation of germplasm resources in vitro and anthocyanins in the fruit of Aronia melanocarpa [D].Changchun:Jilin Agricultural University,2022. | |
| [15] | 肖婉露,马培芳,李延龙,等.韭菜缓慢生长法离体保存技术研究[J].中国瓜菜,2021,34(7):71-75. |
| XIAO W L, MA P F, LI Y L,et al.Study on slow growth conservation in vitro of Chinese chive[J].China Cucurbits and Vegetables,2021,34(7):71-75. | |
| [16] | 陈敏敏,张永春,蔡友铭,等.朱顶红试管苗离体保存及恢复生长研究[J].江西农业学报,2022,34(5):69-75. |
| CHEN M M, ZHANG Y C, CAI Y M,et al.Study on in vitro conservation and recovery growth of Hippeastrum tube seedlings[J].Acta Agriculturae Jiangxi,2022,34(5):69-75. | |
| [17] | 陈辉,陈晓玲,陈龙清,等.百合种质资源限制生长法保存研究[J].园艺学报,2006,33(4):789-793. |
| CHEN H, CHEN X L, CHEN L Q,et al.Studies on germplasm conservation of lily(Lilium L.) by restricting growth method[J].Acta Horticulturae Sinica,2006,33(4):789-793. | |
| [18] | 徐志微,杨丽丽,杜国强,等.培养基渗透压和生长调节剂对葡萄种质离体保存的效应[J].分子植物育种,2014,12(4):720-725. |
| XU Z W, YANG L L, DU G Q,et al.Efficacy of osmotic pressure and plant growth regulators in media on conservation of grape plantlets in vitro [J].Molecular Plant Breeding,2014,12(4):720-725. | |
| [19] | 傅伊倩,孔滢,刘燕.大花卷丹的组织培养及限制生长保存[J].植物生理学报,2012,48(3):277-281. |
| FU Y Q, KONG Y, LIU Y. In vitro propagation and restrict growth preservation of Lilium leichtlinii var. maximowiczii Baker[J].Plant Physiology Journal,2012,48(3):277-281. | |
| [20] | 李彦文,周凤琴,张守平,等.掌叶半夏的形态组织学研究[J].中药材,2008,31(2):206-209. |
| LI Y W, ZHOU F Q, ZHANG S P,et al.Studies on morphology and histology of Pinellia pedatisecta Schott[J].Journal of Chinese Medicinal Materials,2008,31(2):206-209. | |
| [21] | 宋常美,李庆宏.樱桃缓慢生长保存及遗传稳定性检测[J].种子,2019,38(9):67-72. |
| SONG C M, LI Q H.Preservation by slow growth and genetic stability test of Prunus pseudocerasu L.[J].Seed,2019,38(9):67-72. | |
| [22] | 万珠珠,牛来春,谭秀梅,等.三种食用百合种质资源限制生长保存及遗传稳定性研究[J].北方园艺,2016(13):89-92. |
| WAN Z Z, NIU L C, TAN X M,et al.Study on in vitro limited growth conservation and genetic stability of three edible lily[J].Northern Horticulture,2016(13):89-92. | |
| [23] | 林秀莲,张梓浩,赖钟雄.龙眼限制生长保存EC体胚再生植株的RAPD分析[J].亚热带农业研究,2013,9(2):127-132. |
| LIN X L, ZHANG Z H, LAI Z X.RAPD analysis of plantlets regenerating from embryogenic callus after minimal growth conservation in Dimocarpus longan Lour.[J].Subtropical Agriculture Research,2013,9(2):127-132. |
| [1] | Hui FAN, Suhang GUO, Jinxiu WANG, Yanhong ZHANG, Chunyu HE, Qingyi GUO. Effect of Fe Element on Bulbil Formation and Tube Seedling Growth of Pinellia ternata [J]. Bulletin of Botanical Research, 2024, 44(6): 945-953. |
| [2] | Fang WANG, Lu-Ping JIANG, Qin-Hui ZHANG, Zhi-Min LU, Yu-Chun YANG, Jian-Qiu ZHANG, Xi-Yang ZHAO. Stability Analysis and Genetic Variation in Seedling Growth of 51 Larix olgensis Clones from Different Sites [J]. Bulletin of Botanical Research, 2021, 41(3): 336-343. |
| [3] | LIU Yu1;XU Huan-Wen1;LI Zhi-Xin1;TENG Wen-Hua1;ZHANG Lian-Fei2;ZOU Jian-Jun3;SHANG Fu-Qiang4;LIU Gui-Feng1*. Growth Variation and Stability Analysis of Birch Crossbreed Families [J]. Bulletin of Botanical Research, 2015, 35(6): 937-944. |
| Viewed | ||||||
|
Full text |
|
|||||
|
Abstract |
|
|||||